손님
(비회원)
, 반갑습니다!
서울위드치과 소개
치아교정
임플란트
라미네이트
치아미백
치아회복 프로그램
상담/예약
사례/후기
커뮤니티
회원
원장인사말
특별함
병원둘러보기
진료시간안내
찾아오시는길
덧니교정
돌출입교정
주걱턱교정
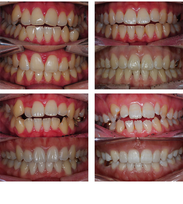
과개교합
개방교합
교정장치
임플란트
치아성형
치아미백
치아회복 프로그램
온라인상담
온라인예약
예약확인
시술사례
시술후기
공지사항
위드이야기
회원가입
로그인/로그아웃
ID/PW 찾기
회원정보수정
회원약관
회원탈퇴
개인정보취급방침