중국 서울위드치과

전체메뉴
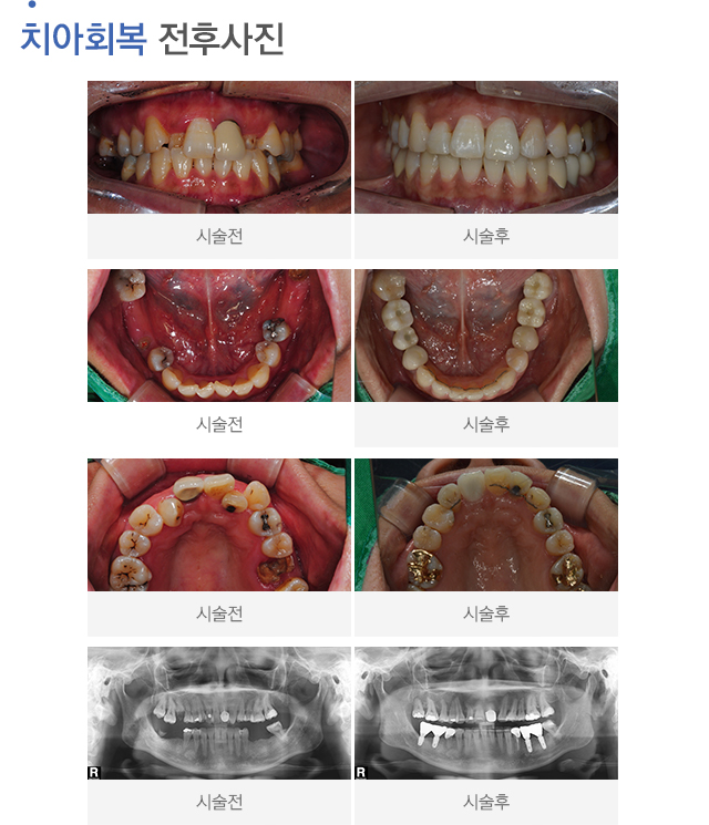
  • 전후사진더보기
  • 온라인상담
  • 온라인예약